试题详情
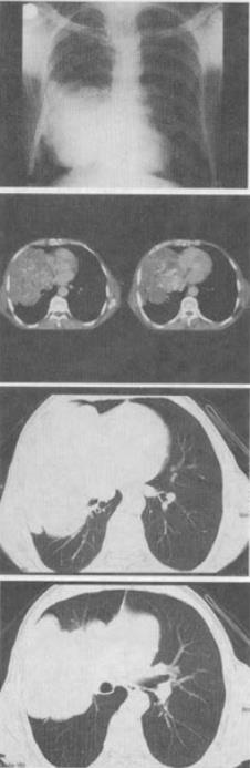
- 单项选择题 患者50岁,男,右侧胸痛、咳嗽、咯血3个月,结合胸片和CT检查,最可能的诊断是()。
A、纵隔肿瘤
B、肺结核
C、肺癌
D、胸膜间皮瘤
E、韦格肉芽肿
- C
关注下方微信公众号,在线模考后查看
热门试题
- 以下对转移性肝癌的描述错误的是:()
- CT鉴别副脾和肿大淋巴结的主要依据是软组织结节影:()
- 患者,男性,35岁。剧烈头痛2天,临床拟诊急性蛛网膜下腔出血,最
- 肩关节脱位最常见的类型是:()
- 神经元移行异常可表现为:()
- 最常见的肺炎致病微生物是()。
最新试题