试题详情
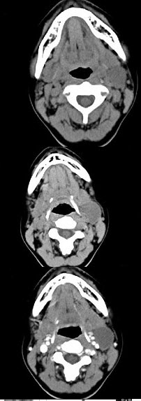
- 单项选择题女,16岁,发现左颈部肿块两年,CT如图所示,最可能的诊断为()。

A、囊状水瘤
B、咽部神经鞘瘤
C、咽旁脓肿
D、左侧鳃裂囊肿
E、囊性转移癌
- D
关注下方微信公众号,在线模考后查看

热门试题
- 甲状舌管未退化或未完全退化可致()。
- 颈深外侧肌群包括()。
- 扁桃体恶性肿瘤常见的转移部位有()。
- 治疗气管闭合性损伤的原则是()。
- 在诊断甲状腺疾病方面有独特意义的是()。
- 治疗颈部开放性血管、神经损伤的原则是()
- 颈部血管、后组脑神经位于()。
- 颈部囊状水瘤()。
- 40岁,患者,左面部渐进性增大的包块,M
- 颈浅部炎症不包括()。
- 下列属于舌骨上肌群的有()。
- 第3鳃裂囊肿及瘘管的内瘘口多位于()。
- 腮腺隙内包括下列哪些结构()。
- 最有可能引起声嘶的疾病有()。
- 对颈深淋巴结下群的描述,正确的是()。
- 下列哪一三角属颈后三角区()。
- 第三鳃裂瘘管外瘘口多位于(),内瘘口多位
- 颈前三角不包括()。
- 下面是一颈部CT图,其中结构标志不正确的
- 治疗甲状舌管囊肿及瘘管的有效方法是()。