试题详情
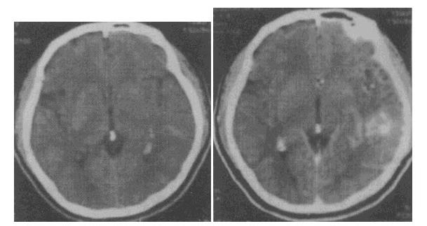
- 单项选择题 男性,39岁,“癫痫”发作2次,无发热、肢体活动不适等症状,根据其CT平扫及强化图像(见图),应首先考虑以下何种诊断()。
A、星形细胞瘤
B、AVM
C、脑出血
D、脑膜瘤
E、脑梗死
- B
关注下方微信公众号,在线模考后查看
热门试题
- 下列哪一项不是Carodi病Ⅰ型的CT表现:()
- 人眼能区别的灰阶数目为:()
- 以下哪一种肝内管道系统分支走行最为恒定,并常作为肝脏分叶分段
- 下列病毒性肺炎影像描述,错误的是()。
- 下列卵巢癌的CT表现中,不正确的是()。
- 以下关于CT值的表述哪一项不正确:()
最新试题