试题详情
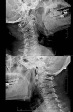
- 多项选择题37岁,女性患者,咽部异物感、咽痛伴反射性耳痛、头颈部不适近一年余,X线检查如图所示,请选择正确的描述和答案()。

A、左侧茎突长约3.5cm
B、右侧茎突长约4.0cm
C、双侧茎突过长综合征
D、右侧茎突过长综合征
E、正常茎突
- A,B,C
关注下方微信公众号,在线模考后查看

热门试题
- 导致咽旁脓肿最常见的致病菌是()。
- 按功能分咽的肌肉可分为()。
- 扁桃体切除术后创面纤维素膜形成于()。
- 女,55岁,鼻咽癌放疗15年,近一周左耳
- 鼻咽上部粘膜的支配神经是()。
- 咽部灼伤时应用类固醇激素的目的是()。
- 咽淋巴内环中淋巴组织最大的为()。
- 急性咽炎的病理改变表现为()。
- 咽后脓肿多局限于一侧的原因是()。
- 男,41岁,发现右上颈包块2个月,病理活
- 男性,56岁,鼻咽癌放疗后复查,CT扫描
- 试述鼻咽癌的临床表现和治疗原则。
- 咽反射是一种()。
- 咽白喉()。
- 患者,男性,35岁。咽痛、发热伴头痛5天
- 不宜行扁桃体切除术的情况是()。
- 患者常有发作性一侧咽痛,痛起突然,向同侧
- 与咽后壁相邻的结构正确的是()。
- 生理性扁桃体肥大可见()。
- 鼻咽部淋巴引流至()。