试题详情
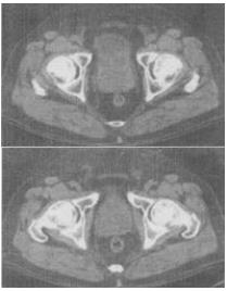
- 单项选择题 男,65岁,尿频尿急及排尿困难,CT检查如图,下列说法错误的是()。
A、前列腺形态呈类圆形
B、前列腺包膜光滑,境界清晰
C、前列腺与膀胱分界清楚
D、考虑为前列腺增生
E、考虑为前列腺癌
- D
关注下方微信公众号,在线模考后查看
热门试题
- 患者,女,87岁,鼻塞、呼吸困难、间断鼻出血2年余。CT平扫示:右
- 如图所示,患者发热、胸痛2个月,最可能的诊断是()。
- 肺结核转归为肺硬化的主要病理基础是()。
- CT鉴别副脾和肿大淋巴结的主要依据是软组织结节影:()
- 患者,男性,40岁。右眼突,CT示眼球后肿块,内有静脉石样钙化,
- 中央型肺癌的横“S”征的形成,主要与下述哪项有关()。
最新试题