试题详情
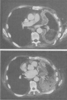
- 单项选择题 男,68岁,胸痛,呼吸困难,咳嗽1个月余,结合影像学检查,最可能的诊断是()。
A、间皮瘤
B、肺癌
C、肺转移瘤
D、淋巴瘤
E、肺结核
- A
关注下方微信公众号,在线模考后查看
热门试题
- 下列哪一项是多发性肝囊肿与Caroli病的区别:()
- 急性粟粒性肺结核的典型粟粒结节出现的时间是:()
- 下列关于肺部霍奇金病,描述正确的是:()
- 下述哪一种钙化不是错构瘤的典型钙化:()
- 肝细胞性肝癌增强CT的典型表现是:()
- 下列有关表皮样囊肿的说法,错误的是哪一项:()
最新试题