试题详情
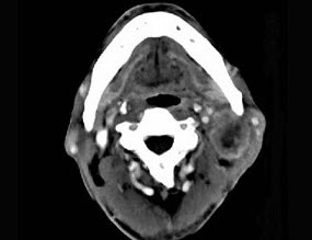
- 单项选择题65岁男性,吸烟史30余年,近半年来颈部出现疼痛性肿块,CT扫描如图所示,请选择最可能诊断()。

A、淋巴结核
B、血管瘤
C、神经鞘瘤
D、淋巴结转移癌
E、软组织脓肿
- D
关注下方微信公众号,在线模考后查看

热门试题
- 颈部恶性淋巴瘤好发于()。
- 颈部蜂窝织炎临床症状有()。
- 患者,女性,32岁,因发现颈部肿块一个月
- 甲状腺癌的B超声像图特征是()。
- 甲状腺上动脉多发自()。
- 颈侧部肿块,有明显搏动和收缩期杂音,压迫
- 女,50岁,左下颈部扪及一质硬、表面高低
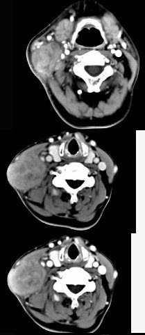
- 男,43岁,右颈部扪及一包块,CT如图所
- 男,60岁,因吞咽疼痛伴咽异物感一个月就
- 囊状水瘤多发于()。
- 舌下腺、舌神经血管及舌下神经位于()。
- 关于颈部肿块性质的4个"80%"和3个"
- 鼻咽部结核感染颈部淋巴结的途径是()。
- 不易发生颈淋巴结转移的肿瘤是()。
- 声门旁间隙的内界()。
- 女,25岁,发现颈部肿块2天来就诊。体查
- 用于诊断颈动脉创伤性栓塞的方法包括()。
- 能够区别气管闭合性损伤与咽、食管闭合性损
- 对咽旁间隙的描述,正确的是()。
- 下面适宜作改良性颈清扫术的有()。