试题详情
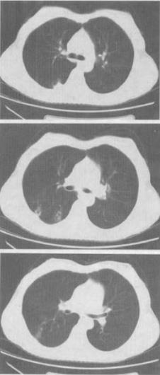
- 单项选择题 女,40岁,间断咯血1周,低热,行胸部CT扫描如图,最可能的诊断是()。
A、肺结核
B、肺部感染
C、支气管扩张并感染
D、支气管囊肿并感染
E、肺脓肿
- A
关注下方微信公众号,在线模考后查看
热门试题
- 颈1、2椎管前后径不应小于:()
- 患儿,男,2岁。头痛,CT轴位平扫示双侧额顶部半月形脑脊液密度,
- 腰椎骨关节病小关节病变CT检查最常见的漏诊原因是:()
- 下列有关脑脓肿的描述,哪项不正确:()
- 患者,女性,68岁。突然剧烈头痛,CT示在侧裂池,颞角高密度。可
- 膈肌升高的患者,发现肺底部横线条影时,首先考虑的疾病是()。
最新试题