试题详情
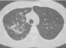
- 单项选择题 患者女,28岁,反复咯血半个月余,CT检查如图,最可能的诊断是()。
A、肺结核
B、肺癌
C、间质性肺炎
D、支气管扩张
E、肺脓肿
- D
关注下方微信公众号,在线模考后查看
热门试题
- 每一肺段由许多肺小叶组成,肺小叶的直径约为:()
- 病变与周围组织密度接近,为突出病变,CT窗的调整应为:()
- 肿瘤脱落转移至卵巢可以和Ⅲ期卵巢癌相混淆,下列哪类肿瘤很少转
- 鼻咽部血管纤维瘤:()
- 精原细胞瘤,除发生在睾丸外尚可发生在:()
- 不同CT值范围提示不同成分,下列叙述中错误的是:()
最新试题