试题详情
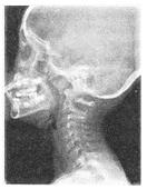
- 单项选择题 患者男性,5岁,反复呛咳,张口呼吸,有靳声,鼻腔分泌物多。X线检查如图所见,最可能的诊断是()。
A、腺样体肥大
B、鼻窦炎
C、扁桃体炎
D、鼻息肉
E、鼻炎
- A
关注下方微信公众号,在线模考后查看
热门试题
- 出生时未发育的鼻窦为()。
- 关于脑动脉瘤病因的描述,下列哪项正确?()
- 肝细胞性肝癌主要接收肝动脉供血,因此在增强早期(动脉期)呈高
- 下列哪项属于Ⅴ型结核?()
- 神经纤维瘤病Ⅱ型的主要表现包括()。
- 以下关于松果体细胞瘤CT征象的叙述,错误的是:()
最新试题