试题详情
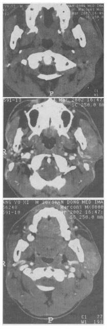
- 单项选择题 女性,45岁。发现左侧腮部肿块1年余,逐渐长大,无明显不适。CT检查如图所示,应首先考虑()。
A、腮腺囊腺淋巴瘤
B、血管瘤
C、脂肪瘤
D、淋巴瘤
E、多形性腺瘤
- E
关注下方微信公众号,在线模考后查看
热门试题
- 下列检查方法对肾癌诊断具有决定意义的是()。
- 骨巨细胞瘤多见于哪一个年龄段:()
- CT诊断慢性骨髓炎优于X线平片是因为:()
- 宫颈癌CT检查的错误描述是:()
- 下列关于卵巢畸胎瘤的描述,错误的是哪一项:()
- 关于腹腔淋巴瘤的CT表现,不正确的是:()
最新试题