试题详情
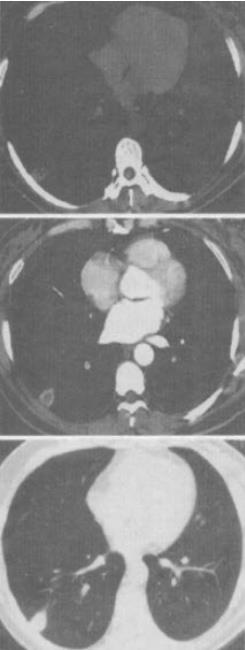
- 单项选择题 男,43岁,右胸背痛13天,ESR:15mm/小时,CT检查如图,最可能的CT诊断为()。
A、肺脓疡
B、周围型肺癌
C、炎性假瘤
D、肺结核
E、错构瘤
- A
关注下方微信公众号,在线模考后查看
热门试题
- 患者女,27岁,双侧颈部淋巴结肿大,PPD(-),结合CT图像,最可
- 诊断硬脊膜囊内种植性转移最敏感的检查方法是:()
- 患者男,67岁,胸痛、咯血、体重下降,结合CT检查,最可能的诊断
- 易发生椎间盘突出的是:()
- 部分型肺静脉畸形连接,血流动力学改变与什么疾病类似()。
- 患者男性,52岁,呼吸困难伴咳嗽1年余,逐渐加重,无明显咳嗽,轻
最新试题