试题详情
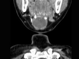
- 单项选择题女,57岁,颈部不适,CT如图所示,应诊断为()。

A、咽囊囊肿
B、鳃裂囊肿
C、甲状舌管囊肿
D、颈部淋巴管瘤
E、颈部神经鞘瘤
- C
关注下方微信公众号,在线模考后查看

热门试题
- 女性,40岁,下颌颏部隆起,X线检查如图
- 颈淋巴结结核合并感染的表现是()。
- 胸导管()。
- 女,32岁,颈部包块8年余,包块逐渐长大
- 治疗甲状舌管囊肿及瘘管的有效方法是()。
- 男,55岁,声嘶6年,有长期吸烟史。检查
- 甲状舌管囊肿及瘘管的特征性临床表现是()
- 下咽癌较易发生颈部淋巴结转移,早期常见的
- 下列属颈内静脉的属支有()。
- 对真性动脉瘤的描述,正确的是()。
- 女性,54岁,右侧颈部肿大近1年,近来病
- 病变局限、较大的海绵状血管瘤适于()。
- 关于血管瘤,下列叙述何者正确()。
- 颈丛麻醉选择点为()。
- 颈动脉瘤的治疗包括()。
- 肿块首发于颈下1/3区的转移癌,原发病灶
- 颈淋巴结的早期表现是()。
- 治疗气管闭合性损伤的原则是()。
- 颈部良性肿瘤发病率最高的是()。
- 关于颈部肿块性质的4个"80%"和3个"