试题详情
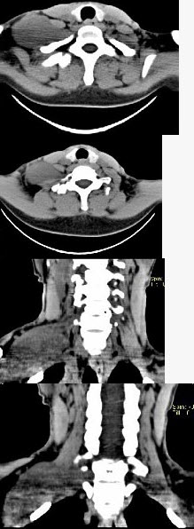
- 单项选择题女,47岁,下颈部触及一包块约五年余,CT如图所示,最可能诊断为()。

A、滑膜肉瘤
B、血管瘤
C、神经鞘瘤
D、副神经节瘤
E、巨淋巴结增生症
- C
关注下方微信公众号,在线模考后查看

热门试题
- 起源于迷走神经的神经鞘膜瘤多在()。
- 气管闭合性损伤可出现()。
- 第2鳃裂囊肿及瘘管的内瘘口多位于()。
- 颈部肿块的诊断最终有赖于()。
- 男,60岁,因吞咽疼痛伴咽异物感一个月就
- 颌下腺、颌下淋巴结位于()。
- 以下属典型颈椎的是()。
- 下咽癌较易发生颈部淋巴结转移,早期常见的
- 喉癌一般是男性多发,但是下面哪一种类型肿
- 气管前筋膜属于颈筋膜哪一层()。
- 用于诊断颈动脉创伤性栓塞的方法包括()。
- 女性35岁,发热、盗汗近3个月,颈部摸到
- 颈淋巴结结核是()。
- 声门上区的淋巴结多数引流到()。
- 结节性甲状腺肿可为()。
- 颈深上淋巴结在头颈肿瘤的诊断和治疗中具有
- 男,55岁,声嘶6年,有长期吸烟史。检查
- 关于神经鞘膜瘤说法正确的是()。
- 恶性肿瘤中80%是()。
- 颈侧部肿块,有明显搏动和收缩期杂音,压迫